Najbolji bh. atletičar Amel Tuka u intervju za televiziju Hayat povodom Dana državnosti BiH je zaplakao kada je, između ostalog, govorio o svojim nastupima pod zastavom BiH. Prema njegovim riječima, kada je dobio čast da ponosno nosi zastavu Bosne i Hercegovine na zatvaranju Olimpijskih...
Layout A (with pagination)
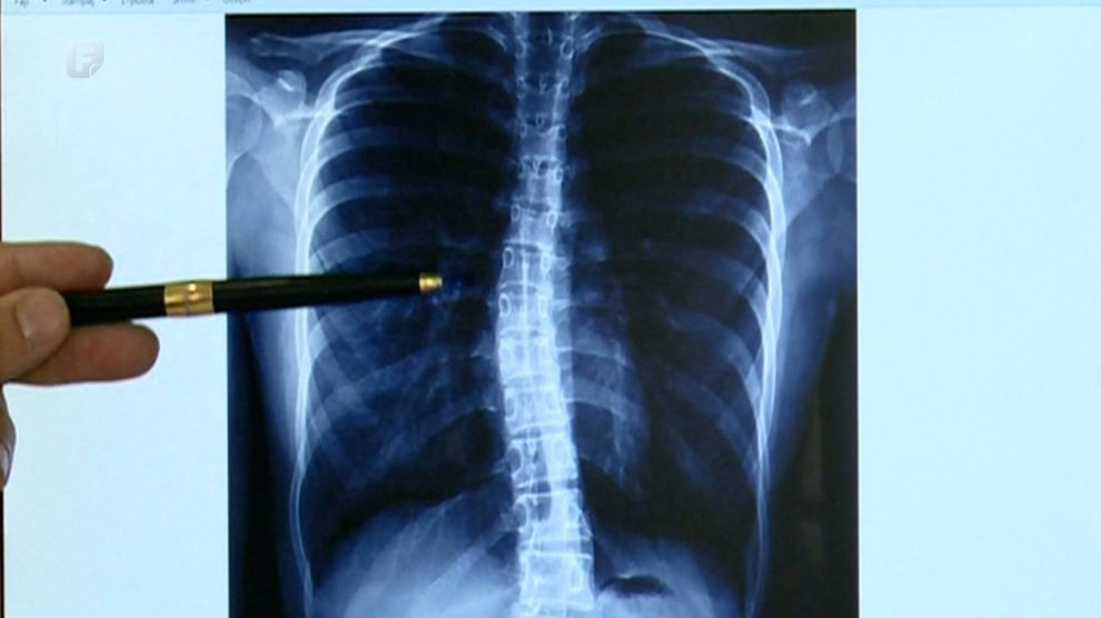
U Zeničko-dobojskom kantonu se od 2013. provode skrining programi kojima je do sada obuhvaćeno 55.000 učenika u 213 osnovnih i 37 srednjih škola. Programi koje obavlja Institut za zdravlje i sigurnost hrane Zenica pokazuju alarmantno stanje kada je u pitanju lokomotorni sistem djece...
Polaganjem cvijeća na Spomen-obilježju „Papirna“ u Zenici obilježen je 25.novembar, Dan državnosti Bosne i Hercegovine. Današnje svečanosti u Zenici povodom dana državnosti BiH organizuje Komisija za obilježavanje značajnih datuma, događaja i ličnosti, Udruženje antifašista i boraca NOR...
Sinoć je u kino sali Kazneno-popravnog zavoda zatvorenog tipa Zenica u organizaciji rukovodstva KPZ Zenica i članova ansambla BosniaFolk održan prigodan koncert za osuđenike i zaposlenika Zavoda povodom dana državnosti Bosne i Hercegovine. Nakon skoro 20 godina za osuđenike je organizovan...
Oglas za posao: Web shop administrator- Almy d.o.o. Zenica objavljuje konkurs za prijem u radni odnos: POZICIJA: Web shop administrator LOKACIJA: Zenica BROJ IZVRŠILACA: 1 POTREBNE KVALIFIKACIJE: – SSS, IV stepen, – Odlično poznavanje rada na računaru (MS office), –...




